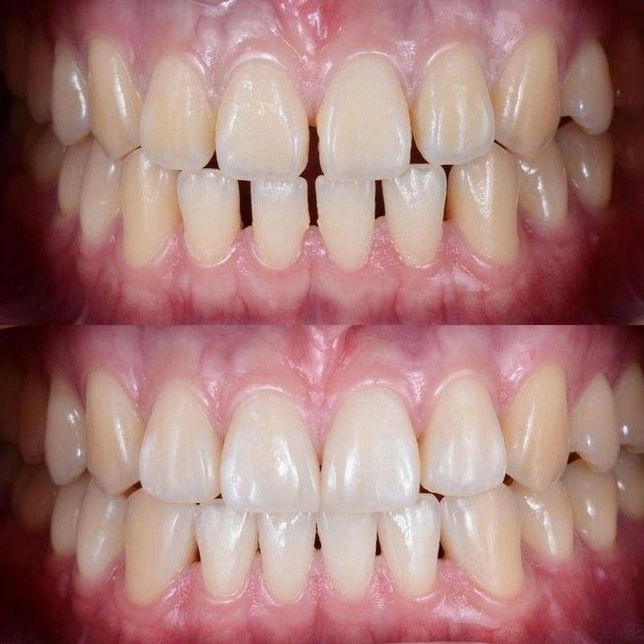
Diastema: Como Fechar o Espaço Entre os Dentes com Harmonia e Segurança

O espaço entre os dentes da frente, conhecido como diastema, pode ser visto como um charme único por algumas pessoas. Entretanto, para outras, pode causar desconforto estético, insegurança ao sorrir e até mesmo impactos na fala e na mastigação.

Mas afinal, o que é diastema? Ele não acontece apenas entre os dentes da frente como muitos acham. Trata-se de qualquer espaço presente entre os dentes, seja qual for a localização na arcada dentária.

Na Clínica Vida + Odontologia Avançada & Estética, oferecemos soluções modernas e personalizadas para o fechamento do diastema, garantindo naturalidade e respeito à sua anatomia e aos seus objetivos estéticos.


O que causa o diastema?

O diastema pode surgir por diferentes motivos, como:

  • Genética: dentes com tamanho desproporcional em relação à arcada;
  • Ausência de dentes adjacentes;
  • Freio labial ou lingual espesso, que interfere na proximidade entre os dentes;
  • Hábitos infantis: como chupar dedo ou empurrar os dentes com a língua;
  • Doenças periodontais: que enfraquecem e fazem os dentes se moverem;
  • Má oclusão: problemas de alinhamento dentário.

Antes de iniciar qualquer tratamento, é essencial realizar uma avaliação detalhada para entender a causa do diastema e definir a melhor abordagem para resolvê-lo.


Como fechar o diastema?

Cada sorriso é único e merece um cuidado exclusivo. Por isso, oferecemos diferentes alternativas de tratamento. Confira:

1. Facetas ou Lentes de Contato Dentais

Solução perfeita para fechar espaços de forma rápida, com um resultado extremamente natural, que harmoniza forma, tamanho e cor dos dentes.

2. Resina Composta (Fechamento Estético)

Procedimento minimamente invasivo, rápido e acessível, ideal para casos leves ou moderados.

3. Aparelhos Ortodônticos ou Alinhadores Invisíveis

Nos casos de desalinhamento dentário, o uso de movimentação ortodôntica é o mais indicado para solucionar o problema.

4. Cirurgia do Freio Labial ou Lingual (Frenectomia)

Quando o freio interfere no fechamento dos dentes, sua remoção é necessária antes de iniciar o tratamento estético ou ortodôntico.


Por que tratar o diastema?

Embora para algumas pessoas possa parecer apenas uma questão estética, o diastema pode impactar em várias áreas, como:

  • Autoestima: aumentar a confiança ao sorrir;
  • Dicção: melhorar a pronúncia e articulação das palavras;
  • Harmonia facial: contribuindo para um sorriso mais equilibrado;
  • Saúde bucal: evitando o acúmulo de alimentos e a formação de placa bacteriana no espaço entre os dentes.

Seu sorriso merece cuidado individualizado e tecnológico

Na Clínica Vida + Odontologia Avançada & Estética, acreditamos que cada sorriso conta uma história especial. Aqui, você terá o cuidado e a experiência da Dr. Edinei e sua equipe altamente capacitada, utilizando uma abordagem integrativa que une tecnologia de ponta, estética e o bem-estar do paciente.

Trabalhamos para transformar não apenas o seu sorriso, mas também a sua autoestima e qualidade de vida. Porque um sorriso bonito vai muito além da estética — é uma questão de saúde e felicidade.


Agende sua avaliação e transforme seu sorriso!

Venha descobrir como o fechamento de diastema pode transformar sua aparência, confiança e até mesmo sua maneira de viver.

Entre em contato com a Clínica Vida + Odontologia Avançada & Estética e conquiste o sorriso harmônico e saudável que você merece!

Comente o que achou:

Deixe um comentário

O seu endereço de e-mail não será publicado. Campos obrigatórios são marcados com *

Veja mais

Artigos relacionados:

A Importância dos Cuidados Estéticos e Internos nas Festas de Fim de Ano

A Importância dos Cuidados Estéticos e Internos nas Festas de Fim de Ano

O final do ano é sempre um período especial. Reencontros, celebrações, mesas fartas e uma rotina completamente diferente da que seguimos ao longo dos meses. Entre uma confraternização e outra,

Implantes Dentários: Quando São Necessários e Quais os Benefícios?

Implantes Dentários: Quando São Necessários e Quais os Benefícios?

O Que são Implantes Dentários? Os implantes dentários são dispositivos de titânio ou zircônia colocados cirurgicamente no osso maxilar ou mandibular para substituir as raízes de dentes perdidos. Eles servem

A Conexão Entre Pele e Intestino: Quando o Corpo Fala, a Pele Responde

A Conexão Entre Pele e Intestino: Quando o Corpo Fala, a Pele Responde

Você já parou para observar como a sua pele reage nos dias em que o seu intestino não está funcionando bem? Mais oleosa, mais sensível, com acne, manchas, alergias… Nada

Como o Estresse Impacta a Saúde Bucal e Pode Causar Problemas Como o Bruxismo

Como o Estresse Impacta a Saúde Bucal e Pode Causar Problemas Como o Bruxismo

O estresse é uma resposta natural do corpo a situações desafiadoras, mas, em excesso, pode afetar diversos aspectos da saúde — e a saúde bucal não é exceção. Embora muitas

A Importância da Noite de Sono para Resultados Estéticos Mais Naturais e Duradouros.

A Importância da Noite de Sono para Resultados Estéticos Mais Naturais e Duradouros.

A estética não começa no consultório — ela começa dentro do corpo. E um dos pilares que mais influenciam a qualidade dos resultados é, justamente, a noite de sono. Dormir

Gengivite e Periodontite: Causas, Sintomas e Como Prevenir

Gengivite e Periodontite: Causas, Sintomas e Como Prevenir

A saúde bucal vai muito além de manter os dentes limpos. As gengivas também desempenham um papel fundamental para um sorriso saudável, sendo responsáveis por proteger as estruturas que sustentam